Cos'è la rigenerazione ossea guidata
La rigenerazione ossea guidata, nota anche come GBR (Guided Bone Regeneration), è un procedimento chirurgico finalizzato all'aumento dei volumi ossei orizzontali e verticali. Dopo aver eseguito una TAC (CBCT), della zona da trattare, viene studiata la forma e il volume osseo residuo per poter progettare digitalmente una griglia in titanio o delle dime chirurgiche che saranno riempite con dei biomateriali insieme all'osso proprio del paziente in modo da rigenerare il volume mancante e dargli la forma desiderata.
L'approccio digitale ci permette la massima predicibilità di successo chirurgico e la minima invasività del trattamento.
Osso residuo insufficiente per poter inserire degli impianti dentali

Rigenerativa ossea verticale ed inserimento degli impianti dentali

Finalizzazione protesica e ripristino della masticazione

Cause della perdita di osso dentale
Le cause possono essere molteplici, tra cui le estrazioni dei denti con grosse infezioni, traumi, malattie parodontali (piorrea), infezioni intorno agli impianti già esistenti (perimplantite), o l'uso prolungato di protesi mobili.
L'osso alveolare, essendo funzionale alla presenza del dente, tende a riassorbirsi rapidamente e tridimensionalmente dopo l'estrazione. Per questo motivo, dopo la guarigione, è sempre consigliato inserire degli impianti dentali.
Benefici della rigenerazione ossea
Il ripristino della forma e del volume osseo consente di creare una base solida e stabile per l'inserimento degli impianti dentali. Ciò non solo migliora la funzionalità e l'estetica della bocca, ma permette anche una migliore integrazione degli impianti stessi, riducendo il rischio di complicazioni a lungo termine.
Come funziona l'intervento di rigenerazione ossea
L'intervento consiste nell'applicazione di membrane rinforzate in titanio, griglie titanio o lamine di osso autologo che vengono riempite per ripristinare i volumi e la forma necessaria all'inserimento degli impianti dentali. Gli innesti possono essere posizionati orizzontalmente o verticalmente a seconda della necessità di aumentare lo spessore, l'altezza dell'osso o entrambi.
Grazie a tecnologie diagnostiche avanzate, come radiografie digitali e TAC 3D, è possibile progettare griglie in titanio personalizzate o dime chirurgiche per le lamine ossee personalizzate da inserire nell'area da rigenerare. All'interno di queste griglie viene collocato un innesto composto da osso naturale del paziente e osso sintetico.
In alternativa, è possibile utilizzare solo l'osso proprio del paziente.
-
Rigenerazione ossea con biomateriali: Si utilizzano griglie in titanio riempite con un mix di osso autologo (del paziente) ed eterologo (biomateriali sintetici), ideale per aumentare il volume osseo.
-
Rigenerazione ossea con osso autologo: In questo caso, si utilizza esclusivamente osso prelevato dal paziente, senza impiego di griglie o materiali sintetici. Viene studiato attentamente il sito donatore per prelevare la quantità necessaria di osso.
Entrambe le tecniche vengono eseguite in anestesia locale e sedazione cosciente, garantendo un intervento indolore.
Tipologie di interventi di rigenerazione ossea

Linee gialle mostrano come l'osso si sia riassorbito nel tempo rispetto alla linea verde che è il nostro target rigenerativo

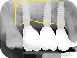
Radiografia dell'osso rigenerato con membrane rinforzate in titanio

Finalizzazione del caso con impianti su osso rigenerato
Intervento di rigenerazione ossea: tempi di guarigione
I tempi di guarigione e maturazione ossea dipendono dalla tecnica utilizzata. Nel caso dell'utilizzo di griglie in titanio dove all'interno viene inserito un composto di osso proprio del paziente e sintetico, sono circa 9 mesi. Quanto utilizziamo solo l'osso proprio del paziente, possiamo inserire gli impianti già dopo 4 mesi. La tecnica con osso proprio del paziente (autologo), riduce i tempi di guarigione e consente di inserire i denti molto tempo prima. Inoltre gli impianti vengono inseriti in osso vitale privo di materiale sintetico. Questa tecnica, a mio avviso è di elezione per i casi più complessi ma non sempre può essere utilizzata su tutti i pazienti, per questo risulta fondamentale una diagnosi accurata e una pianificazione del caso individualizzata.

Assenza di osso residuo nel mascellare superiore, gli impianti cadono nel vuoto del seno mascellare e non possono essere inseriti.

Rigenerativa ossea verticale all'interno del seno mascellare che ci permette di inserire gli impianti dentali di una lunghezza ideale per poter durare nel tempo



Inserimento degli impianti dentali a carico immediato e protesi fissa su impianti in zirconio dopo aver eseguito la rigenerativa ossea.

Vuoi richiedere una
consulenza?
Per ulteriori info o per fissare un appuntamento scrivimi tramite il form qui sotto.









